Признаки
Основные признаки эндометриоидной кисты яичника включают:
- перепады настроения
- повышенная раздражительность
- нарушенный менструальный цикл
- боль при менструации
- боль во влагалище
- боль в нижней части живота
- боль при половом акте
- боль в половых органах
Какой врач дает направление
Первичной диагностикой эндометриоидной кисты яичника занимаются следующие специалисты:
- Гинеколог
Способы диагностики
Протокол диагностики заболевания может включать:
- анализы гормонов
- полимеразная цепная реакция
- лапароскопия
- гинекологический осмотр
- ультразвуковое исследование шейки матки
- ультразвуковое исследование матки
После диагностики
По результатам первичной диагностики могут быть назначена консультация со следующими специалистами:
- Гинеколог
- Физиотерапевт
- Хирург
- Эндокринолог
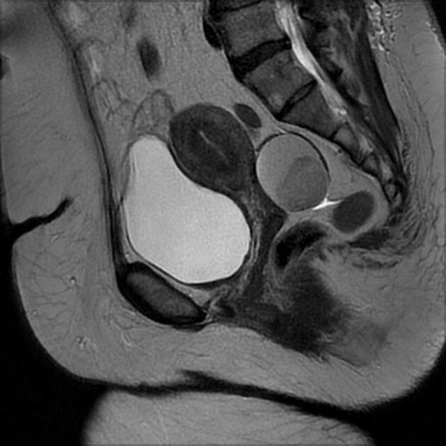
Признаки эндометриоидной кисты яичника на МРТ
Эндометриоидная киста яичника на томограммах может проявляться следующими признаками:
- Наличие чётко очерченного образования округлой или овальной формы в ткани яичника, которое отграничено от окружающих тканей и имеет плотную стенку, что указывает на длительное существование кисты.
- Утолщение стенки кисты, что связано с хроническим воспалительным процессом, сопровождающим эндометриоз, и может проявляться в виде неровных или утолщённых участков в структуре стенки кисты.
- Деформация структуры яичника в области расположения кисты, что приводит к изменению анатомической формы яичника и нарушению его нормальной функциональной структуры.
- Прилегание кисты к другим органам малого таза, таким как матка или фаллопиевы трубы, что может вызывать сдавление или смещение окружающих тканей, особенно при увеличении размеров кисты.
- Наличие спаек между кистой и прилегающими структурами, что является характерным для эндометриоидных кист и приводит к нарушению нормальной анатомической подвижности органов малого таза.
Как выглядит эндометриоидная киста яичника на сканах МРТ
На Т1-взвешенных изображениях киста демонстрирует гиперинтенсивный сигнал, что указывает на наличие густого содержимого, характерного для эндометриоидной кисты, наполненной старой кровью.
На Т2-взвешенных изображениях киста проявляется как зона с пониженным сигналом, что связано с высоким содержанием железа и продуктов распада гемоглобина, характерных для старых кровоизлияний внутри кисты.
На томограммах с подавлением жира эндометриоидная киста хорошо выделяется на фоне жировой клетчатки, что позволяет чётко визуализировать её границы и дифференцировать от других кистозных образований.
МРТ с контрастом могут демонстрировать отсутствие значительного усиления сигнала от содержимого кисты, что указывает на отсутствие активного кровоснабжения внутри кисты и помогает отличить её от других типов опухолевых образований.
Что хорошо покажет МРТ малого таза при эндометриоидной кисте яичника
- Размеры и чёткие границы кисты, что даёт возможность точно оценить её объём, форму и расположение в пределах яичника, а также выявить степень её воздействия на окружающие структуры.
- Толщина и структура стенки кисты, что помогает выявить утолщение стенок, их неровности или изменения, связанные с хроническим процессом, характерным для эндометриоидных образований.
- Расположение кисты относительно других органов малого таза, что позволяет определить анатомическое взаимодействие кисты с маткой, фаллопиевыми трубами и другими структурами, а также выявить возможное смещение или сдавление окружающих тканей.
- Наличие сращений между кистой и соседними органами, что помогает визуализировать степень вовлечения окружающих тканей и органов в спаечный процесс, характерный для эндометриоза.
- Анатомическое состояние яичника в области прилегания кисты, что позволяет оценить изменения в структуре яичника, такие как деформация, утрата нормальной формы и изменение его положения в малом тазу.
Что плохо покажет МРТ яичника при эндометриоидной кисте
- Участки начального формирования эндометриоидной ткани внутри кисты, особенно если они ещё не привели к значительным изменениям в структуре кисты и не вызывают заметного утолщения стенок.
- Сращения между кистой и окружающими органами, которые могут быть слишком тонкими и маловыраженными, затрудняя оценку степени вовлечения прилегающих тканей в спаечный процесс.
- Сосудистые изменения в капсуле кисты, которые не всегда отчётливо визуализируются, что усложняет оценку кровоснабжения, особенно в случаях, когда сосудистые изменения минимальны.
- Изменения в тканях яичника, прилегающих к кисте, такие как начальная атрофия или деформация, могут не быть чётко видны, особенно если процесс ещё не привёл к значительным анатомическим изменениям.
- Зоны инфильтрации эндометриоидной ткани в глубинные структуры яичника, которые могут быть неразличимы при минимальных изменениях ткани, что усложняет точную оценку глубины поражения.
Какие дополнительные обследования потребуются после МРТ
- Гормональные анализы, включая уровень эстрогенов и прогестерона, помогут оценить гормональный фон и выявить возможные нарушения, связанные с эндометриозом, что может иметь важное диагностическое значение при выявлении эндометриоидных кист.
- Лапароскопия даст возможность напрямую осмотреть яичник и другие органы малого таза, выявив наличие спаек, воспалительных процессов и определить точные границы кисты, что помогает в случае необходимости принять решение о дальнейшем лечении.
- Биопсия кисты во время лапароскопии позволит получить образцы ткани для гистологического исследования, что необходимо для подтверждения доброкачественного характера образования и исключения других патологий.
- Анализ крови на маркеры эндометриоза, такие как СА-125, позволит оценить наличие воспалительного процесса и эндометриоза в организме, что важно для более точной диагностики эндометриоидных кист и определения их стадии.
Список литературы:
- Современные представления об эндометриоидных кистах яичников / С.О. Дубровина // Проблемы репродукции. - 2015. - №3(21). - С.98-104.
- Арешян, К.А. Основные аспекты лечения эндометриоидных кист яичников. / К.А. Арешян // Современные проблемы науки и образования. -2015. - №6-0. - С. 260.
- Дубинская, Е.Д. Эндометриоидные кисты яичников и фертильность: дискуссионные аспекты. / Е.Д. Дубинская, А.А. Дутов, Н.В. Лаптева, И.А. Бабичева // Вопросы гинекологии, акушерства и перинатологии. - 2015. - Т.14, № 5. - С. 27-35.
- Современные возможности лечения эндометриоидных кист яичников. / И.А. Лапина, Ю.Э. Доброхотова, М.В. Гаврилов, А.С. Сдвигов // Гинекология. - 2017. - Т. 19, № 1. - С. 42-45.
- Адамян, Л. В. Лучевая диагностика и терапия в акушерстве и гинекологии: национальное руководство / Л. В. Адамян, В. Н. Демидов, А. И. Гус, И. С. Обельчак. - Москва: ГЕОТАР-Медиа, 2012. - 656 c.
